Films
Videos
Live
Login
Home
Films
Videos
Live
Đăng nhập
Films
Movies
Movies 2025
Movies 2024
Movies 2023
Movies 2022
Movies 2021
Movies 2020
Movies before 2020
TV Dramas
United States of America
Korea
Japan
China
Hong Kong
India
Thailand
France
Taiwan
Australia
England
Canada
Russia
Best on Vidoe
Hoang Giang Share
Janusz
办美国文凭加拿大文凭澳洲文凭英国文凭学位证毕业证成绩单
Veinas bọt EPE máy móc
Wendy Ye
Download video
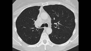
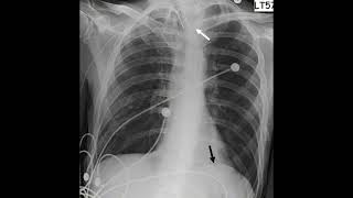
FRCR 2B RS Case 06
74 views
Radiology Made Easy
3 days ago
FRCR 2B RS Case 06
FRCR 2B RS Case 06
3:00
FRCR 2B RS Case 06
by
Radiology Made Easy
2:55
FRCR 2B RS Case 05
by
Radiology Made Easy
2:23
FRCR 2B RS Case 03
by
Radiology Made Easy
3:02
FRCR 2B RS Case 07
by
Radiology Made Easy
3:30:19
CNS for FRCR P2(tumors)
by
kaleidoscope
0:52
Promo Video: 1st Radiology Highlights Conference in Dubai, 13-14 Oct 2023
by
MCO Healthcare Conferences
2:02
Annual Radiology Meeting 2024 - Highlights from the 9th Edition
by
INDEX Holding
2:42
FRCR 2B RS Case 04
by
Radiology Made Easy
2:22
FRCR 2B RS Case 08
by
Radiology Made Easy
1:44
FRCR 2B RS Case 01
by
Radiology Made Easy
2:50
FRCR 2B RS Case 12
by
Radiology Made Easy
1:53
FRCR 2B RS Case 02
by
Radiology Made Easy
2:36
FRCR 2B RS Case 11
by
Radiology Made Easy
2:51
FRCR 2B RS Case 14
by
Radiology Made Easy
3:00
FRCR 2B RS Case 15
by
Radiology Made Easy
3:27:47
Free Webinar | FRCR Part 2B | What Every Candidate Must Know | StudyMEDIC
by
StudyMEDIC-MRCP-MRCPCH-MRCS-MRCEM-FRCR
2:45
FRCR 2B RS Case 13
by
Radiology Made Easy
2:46
What it's like to work at The Royal College of Radiologists
by
The Royal College of Radiologists
ViDoe Login
×
Upload videos, create your own free channel with ViDoe.Top after login
Login with Google
Login with Discord